矯正治療とは

当院の特徴

当院の特徴

治療を開始する前に、十分なご説明の時間を設けています。特にお子様や未成年者の場合、保護者を交えた三者によるミーティングを行うことで、家族間の意見統一を図ります。

当院は、矯正専門医院となりますので、さまざまな治療器具をご提示することが可能です。
同じ症状でも、患者様のご希望に合わせて、オーダーメイドの治療を行います。
また、器具類の選択にとどまらず、1ミリ単位の微調整も、直接手がけています。

歯並びも重要ですが、それにも増して大切なのが、すっきりとした横顔のシャープさです。鼻の頭と顎の先端を結んだ線を「エステティックライン」と呼ぶのですが、くちびるが、この線の中に収まると理想的。もちろん、見た目だけでなく、かみ合わせなどの機能面にも留意していきます。

先天的な要因だけではなく、ストレスなどにより歯を食いしばることで、歯並びが悪くなることもあります。歯がかみ合っている時間(歯の接触時間)は、普通の人で3食きちんと食べたとしても1日約20分。歯ぎしりや食いしばりが癖になっている方は、その数十倍も歯が接触していることもあります。それを解くアドバイスなども行っています。

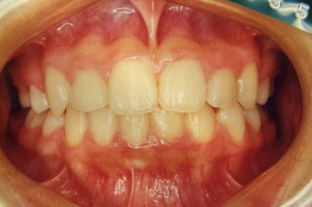
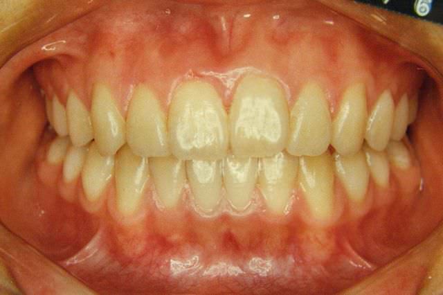
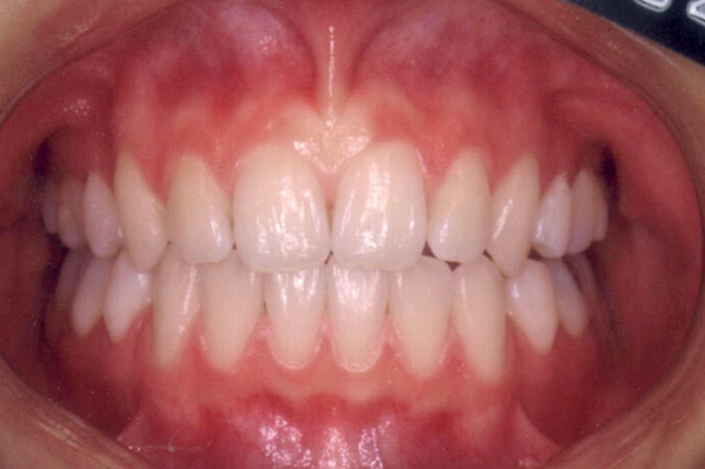
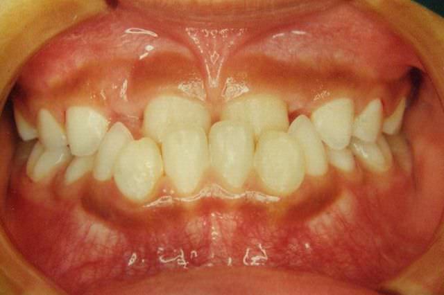
上顎前突(じょうがくぜんとつ)

上顎前突

上顎の前歯が正常な位置より前に出ている症例で、いわゆる「出っ歯」のケースです。原因はさまざまに考えられますが、最も大きなものは、舌の使い方にあると思われます。舌は物を飲み込むとき、上側に動くのが普通です。ところが、一部の人は前に出るため、この力で歯を押し出してしまうのです。 舌の前後動が定常化すると、鼻の気管を圧迫し、口呼吸の原因となる場合があります。そこで、治療を行うのと同時に、ガムトレーニングで舌の癖を治していく必要があるでしょう。いわゆる「矯正治療の後戻り」が起きる理由のひとつに、この癖が抜けきっていないことなどが考えられます。

治療前

上顎前突 治療前

治療後

上顎前突 治療後
主訴 前歯が出ているのが気になる口が閉じにくい
診断名あるいは主な症状 上顎前突
年齢 11歳4ヶ月
治療に用いた主な装置 ブラケット装置 スタンダードエッジワイズ法
抜歯部位 上下両側第一小臼歯
治療期間 2年11ヶ月
治療費概算 70万+月々の調整料
リスク副作用 歯の根が吸収して短くなる場合があります。
歯茎が痩せて下がる場合があります。
舌で歯を押す唇を噛む等の癖が改善されない場合は、治療期間が長引く場合があります。
定期的に通院できない、キャンセルが多い場合は治療期間が長引きます。

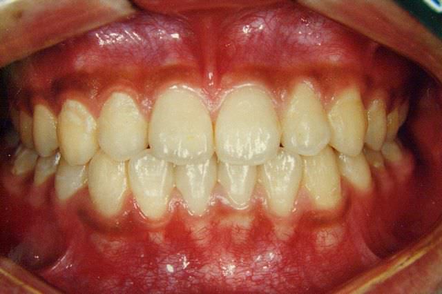
下顎前突(かがくぜんとつ)

下顎前突

下顎が突き出ているケースで、いわゆる「受け口」になります。顎の成長が終わる前に治療を始める必要があり、最悪の場合、顎の骨を切断する大がかりな手術を要します。成長期であれば、「チンキャップ」と呼ばれる帽子状の器具をはめて、突出を抑えるようにします。

治療前

下顎前突 治療前

治療後

下顎前突 治療後
主訴 顎が出ていて見た目が気になる
診断名あるいは主な症状 下顎前突
年齢 11歳9ヶ月
治療に用いた主な装置 ブラケット装置 スタンダードエッジワイズ法
抜歯部位 非抜歯
治療期間 3年2ヶ月
治療費概算 70万+月々の調整料
リスク副作用 歯の根が吸収して短くなる場合があります。
歯茎が痩せて下がる場合があります。
舌で歯を押す唇を噛む等の癖が改善されない場合は、治療期間が長引く場合があります。
定期的に通院できない、キャンセルが多い場合は治療期間が長引きます。

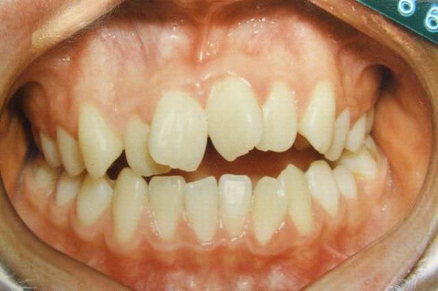
開咬(かいこう)

開咬

奥歯がかみ合わさった状態であるにもかかわらず、前歯の部分が閉じていない症例です。このケースでも、異常嚥下癖(本人は気付いていません・・・)が大きく関係してきます。食べ物を飲み込むときに、舌の逃げ場がないので、前歯を押し広げてしまうのです。治療に際しては、移動した歯を元の場所に戻すことが目的となります。

治療前

開咬 治療前

治療後

開咬 治療後
主訴 指しゃぶりをしていたせいかベロが絶えず出てしまう
診断名あるいは主な症状 開咬
年齢 14歳8ヶ月
治療に用いた主な装置 ブラケット装置 スタンダードエッジワイズ法、睡眠時FKO(アクチバトール)
抜歯部位 非抜歯
治療期間 2年4ヶ月
治療費概算 70万+月々の調整料
リスク副作用 歯の根が吸収して短くなる場合があります。
歯茎が痩せて下がる場合があります。
舌で歯を押す唇を噛む等の癖が改善されない場合は、治療期間が長引く場合があります。
定期的に通院できない、キャンセルが多い場合は治療期間が長引きます。

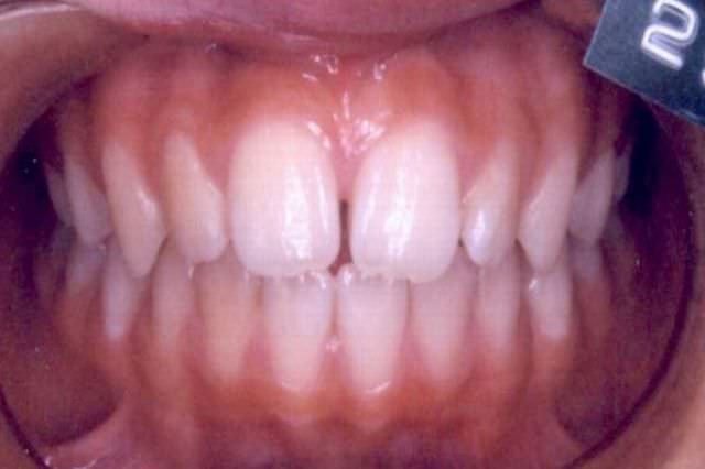
正中離開(せいちゅうりかい)

正中離開

前歯に隙間が生じている、いわゆる「すきっ歯」の状態です。少ない本数の歯だけを動かす治療は、当院がもっとも得意とするところです。透明なマウスピース型のプレートを使用し、歯を動かします。場合により、新たに1本分の空間を作り、差し歯などの治療を併用することもできます。

治療前

正中離開 治療前

治療後

正中離開 治療後
主訴 前歯が開いてきて気になる
診断名あるいは主な症状 正中離開
年齢 20歳2ヶ月
治療に用いた主な装置 Essix アプライアンス
抜歯部位 非抜歯
治療期間 7ヶ月
治療費概算 20万+月々の調整料
リスク副作用 舌で歯を押す唇を噛む等の癖が改善されない場合は、治療期間が長引く場合があります。
定期的に通院できない、キャンセルが多い場合は治療期間が長引きます。

叢生(乱杭歯 らんぐいば)

叢生

すべての歯が正常に生えそろうスペースがないため、あらぬ方向へ歯が生えてきたケースです。矯正器具で丁寧に動かしていくか、場合によって抜歯をして、スペースを作ります。インプラント治療を併用して、土台となる足場を作る方法もありますが、お子様にはお勧めしていません。

治療前

叢生 治療前

治療後

叢生 治療後
主訴 歯並びが気になる
診断名あるいは主な症状 叢生 乱ぐい歯
年齢 13歳0ヶ月
治療に用いた主な装置 ブラケット装置 スタンダードエッジワイズ法
抜歯部位 非抜歯
治療期間 2年5ヶ月
治療費概算 70万+月々の調整料
リスク副作用 歯の根が吸収して短くなる場合があります。
歯茎が痩せて下がる場合があります。
舌で歯を押す唇を噛む等の癖が改善されない場合は、治療期間が長引く場合があります。
定期的に通院できない、キャンセルが多い場合は治療期間が長引きます。